ما هو جسر الأسنان؟
هو قالب يتم تصميمه من مواد خاصة على شكل أسنان كاملة متصلة وذلك لملء بعض الأماكن الفارغة من الأسنان.
ويتم تثبيته عادة بربطه بطريقة خاصة بالأسنان الأصلية المجاورة له في الفك، وعادة ما يصنع من مواد، مثل: البورسلان ليحاكي مظهر الأسنان الطبيعية في الفم.
أنواع جسر الأسنان
هناك عدة أنواع مختلفة وهذه بعضها:
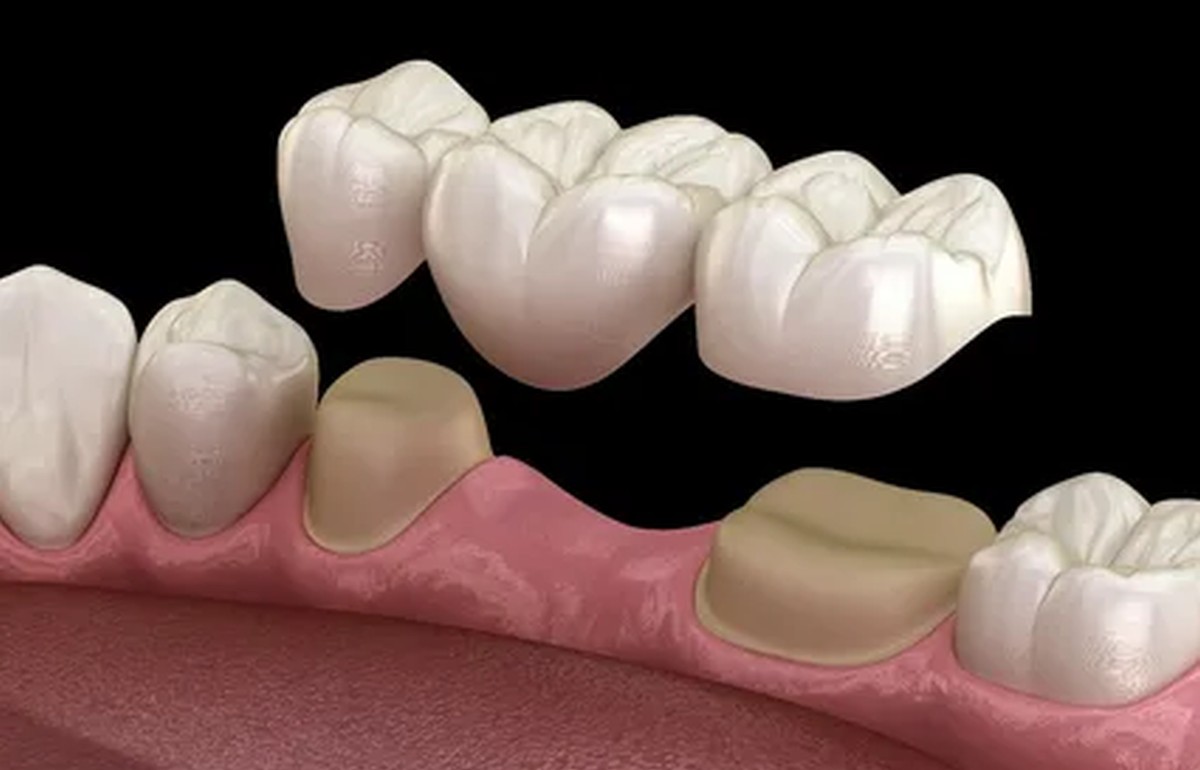
1. جسر الأسنان التقليدي (Traditional Dental Bridge)
في هذا النوع يتم تصنيع قالب على هيئة سن واحد أو أكثر، ويتم تثبيته في المنطقة الفارغة من اللثة عبر ربطه بإحكام بالأسنان المجاورة من الجانبين والتي تسمى بالأسنان الداعمة.
2. جسر ماريلاند (Maryland dental bridge)
في هذا النوع يتم تصنيع ما يشبه الأجنحة الخلفية على جانبي الأسنان المصنعة، ومن ثم يتم تثبيت الجسر في مكانه عبر تثبيت هذه الأجنحة جيدًا خلف الأسنان المحيطة بجانبي الجسر.
3. الجسر الناتئ (Cantilever bridges)
هنا يتم تثبيت الأسنان المصنعة الجديدة فقط على السن الوحيد المجاور للجسر، إذ إن هذا النوع من الجسور يتم تركيبه في منطقة يكون فيها السن المفقود متطرفًا ولا يجاوره إلا سن واحد طبيعي فقط.
حالات تستدعي تركيب الجسر
يتم عادة استخدامه لاستبدال سن أو مجموعة من الأسنان المفقودة كبديل لعملية زراعة الأسنان، وذلك لتحقيق الأغراض الآتية:
- استعادة القدرة على مضغ الطعام بشكل طبيعي.
- الحفاظ على المسافات بين الأسنان، وتحسين مظهر الوجه والفكين.
- استعادة القدرة على نطق الأحرف بشكل سليم والتكلم دون مشكلات أو صعوبات.
- الحصول على ابتسامة صحية وجميلة.
- حماية الأسنان المتبقية في الفم، وتحسين شكل الإطباق أو العض.
خطوات تركيب الجسر
عادة ما يحتاج الأمر زيارتين فقط لطبيب الأسنان لتركيب جسر الأسنان بنجاح، وهذا ما عليك توقعه عند الخضوع لهذا النوع من الإجراءات الطبية التجميلية:
- تحضير الأسنان الطبيعية المحيطة بمنطقة جسر الأسنان لعملية تركيب الجسر، وهذا يتضمن برد الأسنان ووضع تيجان مؤقتة عليها ريثما يتم تصنيع التيجان الدائمة التي سوف تثبت الجسر في مكانه.
- تركيب الجسر مع التيجان السنية الجديدة المتصلة به وتثبيته في مكانه بمواد خاصة في الزيارة التالية، ثم يتأكد الطبيب من أن عضة المريض مناسبة وأن الأسنان ليست مرتفعة بالنسبة له.
- إمكانية تطلب الأمر عدة زيارات لاحقة لتعديل العضة، والتأكد من أن أسنان الفكين ينطبقان على بعضهما بطريقة مناسبة ومريحة.
ما بعد تركيب الجسر
بعد تركيب الجسر من المتوقع أن يشعر المريض بما يأتي:
- انزعاج عام في الفم.
- تورم وليونة في اللثة في المنطقة المحيطة بالجسر.
- نزيف بسيط في اللثة.
إيجابيات جسر الأسنان
قد يتم اختياره وتفضيله على بعض الإجراءات الأخرى، مثل: زراعة الأسنان، وذلك للأسباب الآتية:
- الخفة ما يجعل المريض يشعر بالراحة أثناء المضغ دون أي إزعاج.
- عدم الحاجة لفترة طويلة حتى يعتاد الشخص عليه.
- عملية سريعة نسبيًا، إذ لا يستغرق الأمر أكثر من زيارتين حتى يتم تركيب الجسر بالكامل في أغلب الأحيان.
- إمكانية أن يدوم لفترة طويلة في الفم إذا تم اتباع قواعد النظافة الشخصية بحذافيرها ودون إهمال.
سلبيات مشكلات محتملة
لا يخلو تركيبه من بعض السلبيات والمشكلات المحتملة، وهذه أهمها:
- ضغط إضافي على الأسنان الداعمة المجاورة، مما قد يتسبب مع الوقت في بعض المشكلات فيها، خاصة إن كان الجسر طويلًا بعض الشيء أو إن كان طرفيًّا ويرتكز على سن واحد فقط.
- تركيب جسر الأسنان يعني أن عليك برد الأسنان المجاورة لتركيب تيجان سنية جديدة، ما يعني أنك سوف تفقد بالضرورة جزءًا من أسنانك السليمة بلا عودة.
- مشكلات كبيرة في عصب السن الداعم والتي قد تظهر مع الوقت بعد تركيبه.
- الحاجة لاستبدال جسر الأسنان الحالي، وتركيب جسر جديد كل 5 - 15 عامًا، وذلك حسب حالة الأسنان والتزام المريض بتنظيف أسنانه بشكل جيد.
- تسوس في الأسنان المجاورة، خاصة عند عدم اتباع قواعد التنظيف والعناية الضرورية.
- إمكانية انخلاع الجسر من مكانه وانزلاقه، وهنا قد يحتاج الأمر لتدعيم مضاعف للجسر أو حتى زرعات سنية.
- التهابات وقيح ومشكلات في اللثة في المنطقة المحيطة بالجسر أو تحت الجسر مباشرة.
في عيادتنا في طرابزون ، حيث يتم استخدام الأجهزة التكنولوجية الحديثة ، يتم تنفيذ تطبيقات التاج أو الجسر المدعومة بالأسنان أو المزروعة بنجاح مع سنوات من الخبرة من الحالات البسيطة إلى الحالات المتقدمة ومئات المراجع السعيدة للمرضى.
