Premium Quality Dental Clinic In Trabzon, Turkey
MUHAMMET AKTURK DENTAL CLINIC
As Muhammet Akturk Dental Clinic and Dentist Centre in Trabzon, Turkey with our expert dentist team, we provide dental services in all treatments. Dental implants, cosmetic dentisry, porcelain veneers, zirconia crowns, orthodontics including invisalign, pediatric dentistry. In our new generation, modern and institutional dental clinic in Turkey, we serve to our patients for permanent treatment solutions. Our clinic is located in Trabzon Turkey offers solutions to people looking for quality dental care at affordable prices compared Europe, UK, Saudi Arabia and Qatar. We are able to make all kind of advanced surgeries with the help of qualified and our experienced dentist team in Turkey.
Beautiful vacation, healthy teeth and a beautiful smile. Both together. Welcome to our clinic in Trabzon, the most beautiful city in the Black Sea.
An example of the treatments we have done :
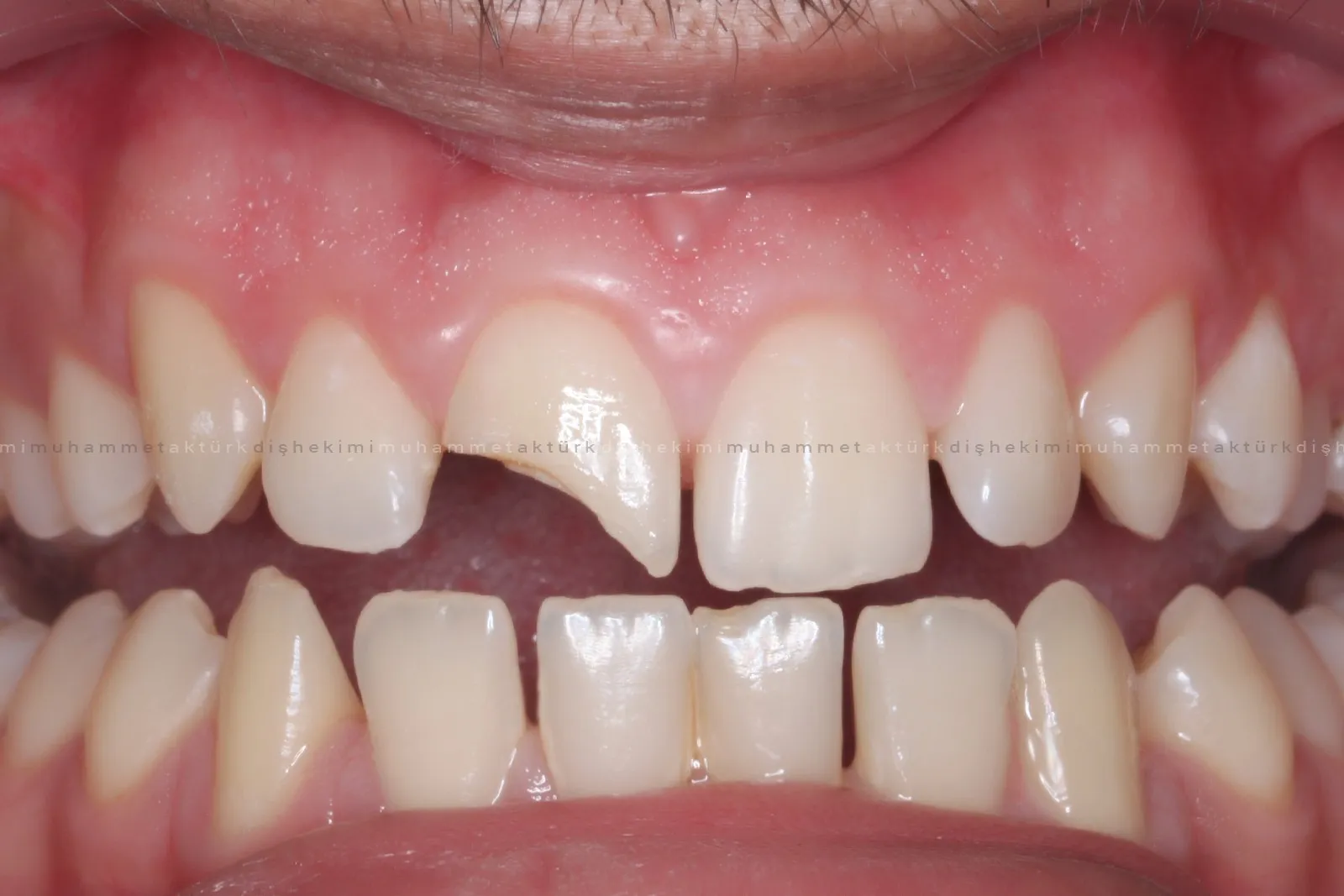
TREATMENT of ANTERIOR TOOTH FRACTURE WITH AESTHETIC COMPOSITE FILLING
Before
Before
After
As Muhammet Akturk Dental Clinic and Dentist Centre in Trabzon, Turkey with our expert dentist team, we provide dental services in all treatments. Dental implants, cosmetic dentisry, porcelain veneers, zirconia crowns, orthodontics including invisalign, pediatric dentistry. In our new generation, modern and institutional dental clinic in Turkey, we serve to our patients for permanent treatment solutions. Our clinic is located in Trabzon Turkey offers solutions to people looking for quality dental care at affordable prices compared Europe, UK, Saudi Arabia and Qatar. We are able to make all kind of advanced surgeries with the help of qualified and our experienced dentist team in Turkey.
WHO WE ARE
Muhammet Akturk Dental Clinic Turkey
A new generation, classy, reliable and best dental clinic in Trabzon, Turkey.
With experienced dentist staff, in a cautious and hygienic environment, Muhammet Akturk Dental Clinic in Turkey get support from modern devices to provide you the best and premium dental service. Thus, it provides you the best comfort and allows you to regain your health as soon as possible. Our clinic, which serves in all areas of oral and dental health, is located in Trabzon, Turkey, which is one of the most beautiful touristic cities. Let’s make a change and put a perfect smile on your face with our dental clinic in Trabzon/TURKEY.
As a Muhammet Akturk Dental Clinic family, with our expert dentist staff in their fields, we add a lot of smiles to your life with little touches. We are here to give you your health and great smile back again. We look forward to welcoming you.
Why Choose
Our Clinic in Trabzon
Our clinic is located in Trabzon, Turkey, one of the best tourism locations. In our dental centre in Trabzon Turkey, We provide the highest quality standards at competitive prices in all dental treatments. We are waiting for you at our dental centre in Trabzon for privileged treatments.

Our reatest happiness:
Smiling Patients
We are at your service with all kinds of dental and oral health problems with our experienced physicians. Our greatest happiness is that our patients can have beautiful and healthy smiles. We wish you healthy teeth and happy smiles...
Years Of Experience
Happy Patients
Assessments
Reviews Of Our Patients
Adress
İskenderpaşa Mahallesi, Gazipaşa Caddesi, Gazipaşa Sitesi Kat:3 Daire:16 Ortahisar / TRABZON
Phone
+90 462 277 7777
+90 552 387 7677
info@drakturk.com
Working Hours
Sunday - Saturday: 9:00 AM - 6:30 PM
